Good times for a change
I went to Toronto to see Dr. Ogilvie-Harris today. I had to wait a while to get this appointment as my original one was scheduled for when I was in South Africa and then it made sense to wait for my X-rays (which I got yesterday) and see him with updated images. Ogilvie-Harris is great! He took the time to review my x-rays and explain exactly what was going on with the fracture. He went over rehabilitation and what I should and shouldn’t be doing. He said I can start running in two weeks although my build-up is going to be very conservative from that point. I’ll start out with 1km and stay on the indoor track for the softer surface.
I got lucky going without the pin because my healing is going as well as can be expected and the calcification that occurs with natural healing will be the best thing for future bone strength. A pin would of been warranted if I had been in a rush to get to a major competition. In that particular situation it might be worth taking on the risks in order to get back running quicker.
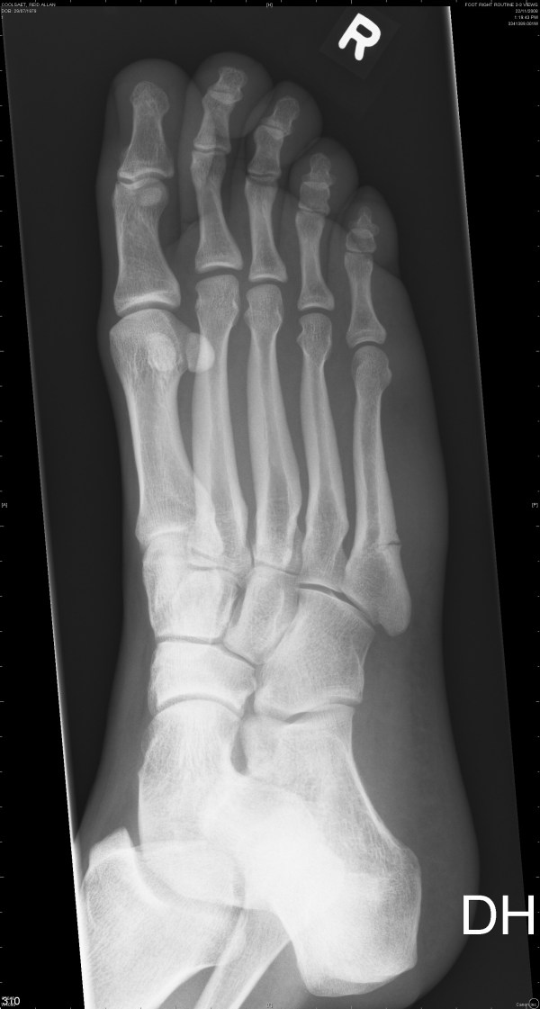
Below are three X-rays in chronological order from the day I broke my foot until yesterday (Jan. 20th).
Here is the first X-ray from November 6th, 2008

November 22nd. This image is a little larger and easier to see the crack.

Below is an X-ray from January 20th, 2009. You can see there isn’t such a gap anymore and there is some good calcification going on. The inside portion of the bone is healed (it’s easier to see with the viewing program which allows high resolution magnification). When I look at this image I think “my foot feels better than that“.

Now I kind of have a timeline in my head. I’ll start running on February 6th with a single kilometer. It may take three months until I’m running at full capacity. From there it may be six more weeks before I return to competition. I’m very motivated to lay down some good times on the track, at some point, this year. I know I have to be patient, which will probably entail me watching the Payton Jordan 10 000m on May 3rd. You see, I was planning on running that same race last year so, I purchased a round-trip ticket from TO to SF. Now I have a credit for that trip which has to be used within a year from when I was supposed to fly. So I might as well fly out to San Fran for a few days and watch a race instead of letting it go to waste.
It’s nice to be able to walk normal again.

Comments are closed.






my walks have become a little sillier lately
glad you’re healing
Great news Dude.
I just can not imagine with strong your blog greatly that helped me. Thank you “Money isn’t the most important thing in life, but it’s reasonably close to oxygen on the ‘gotta have it’ scale.” – Zig Ziglar