Skip to content

Well nothing’s dead down here, just a little tired

December 1, 2008

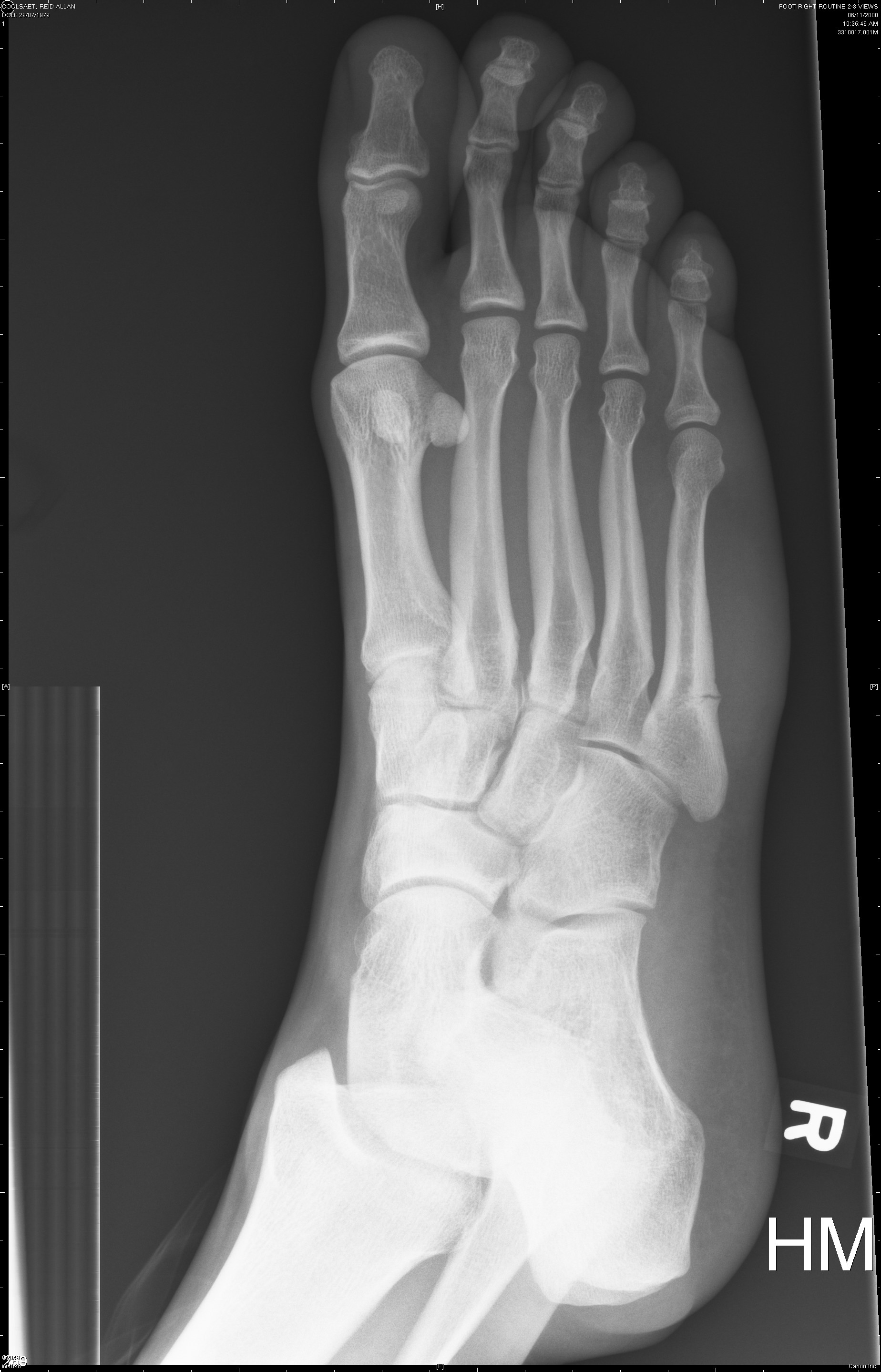
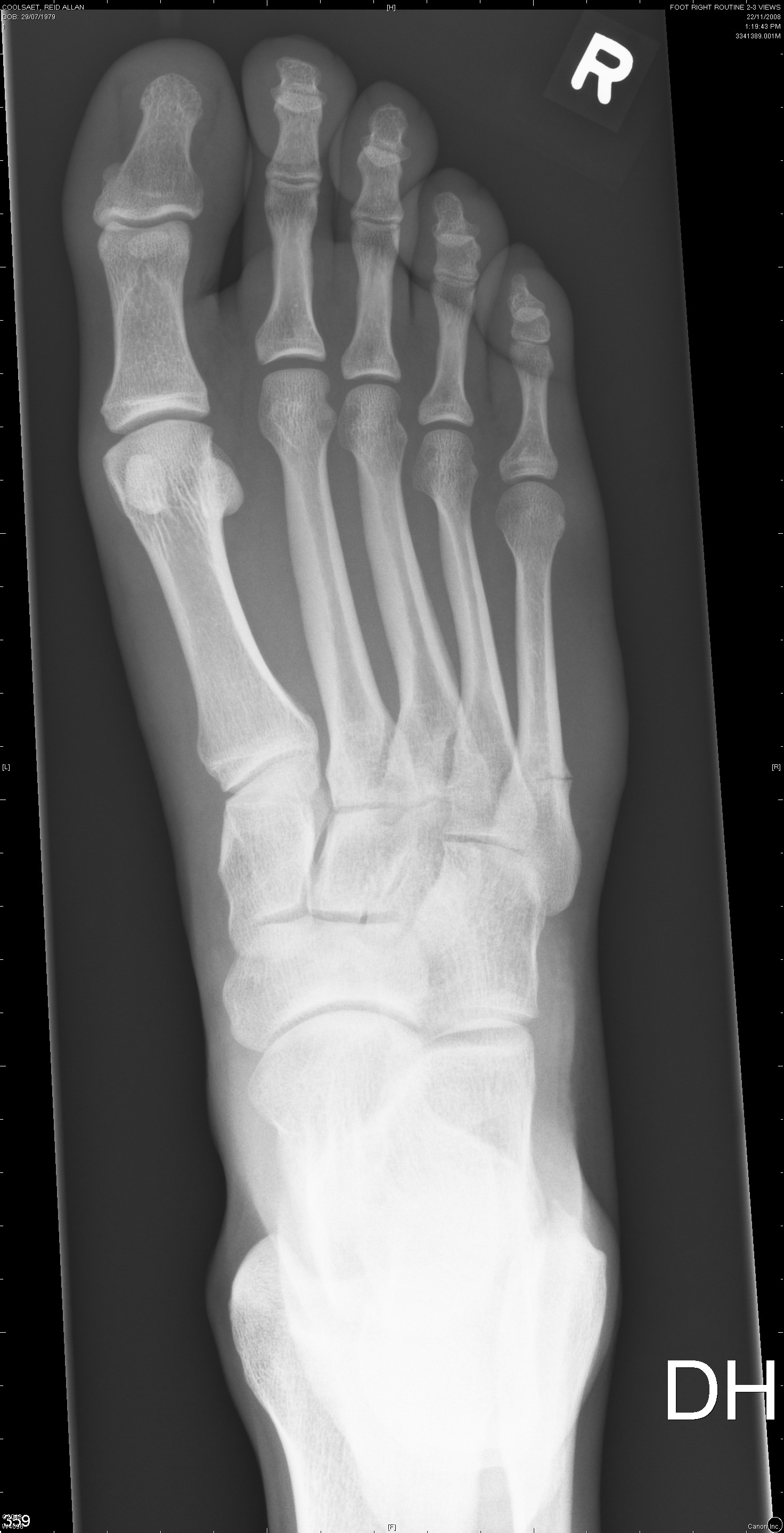
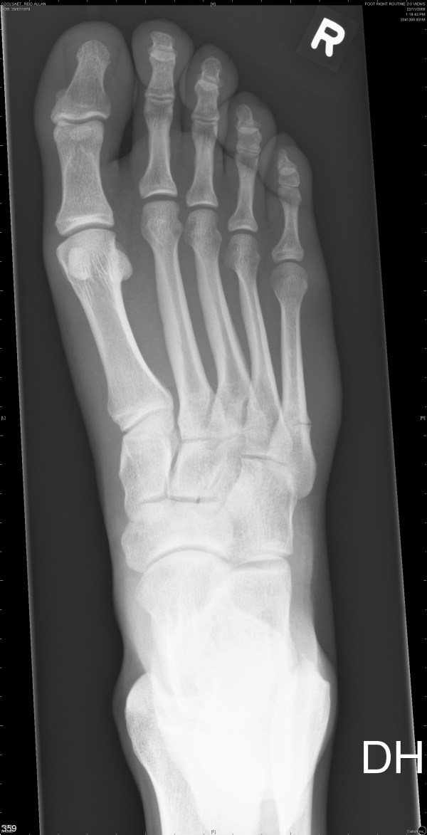
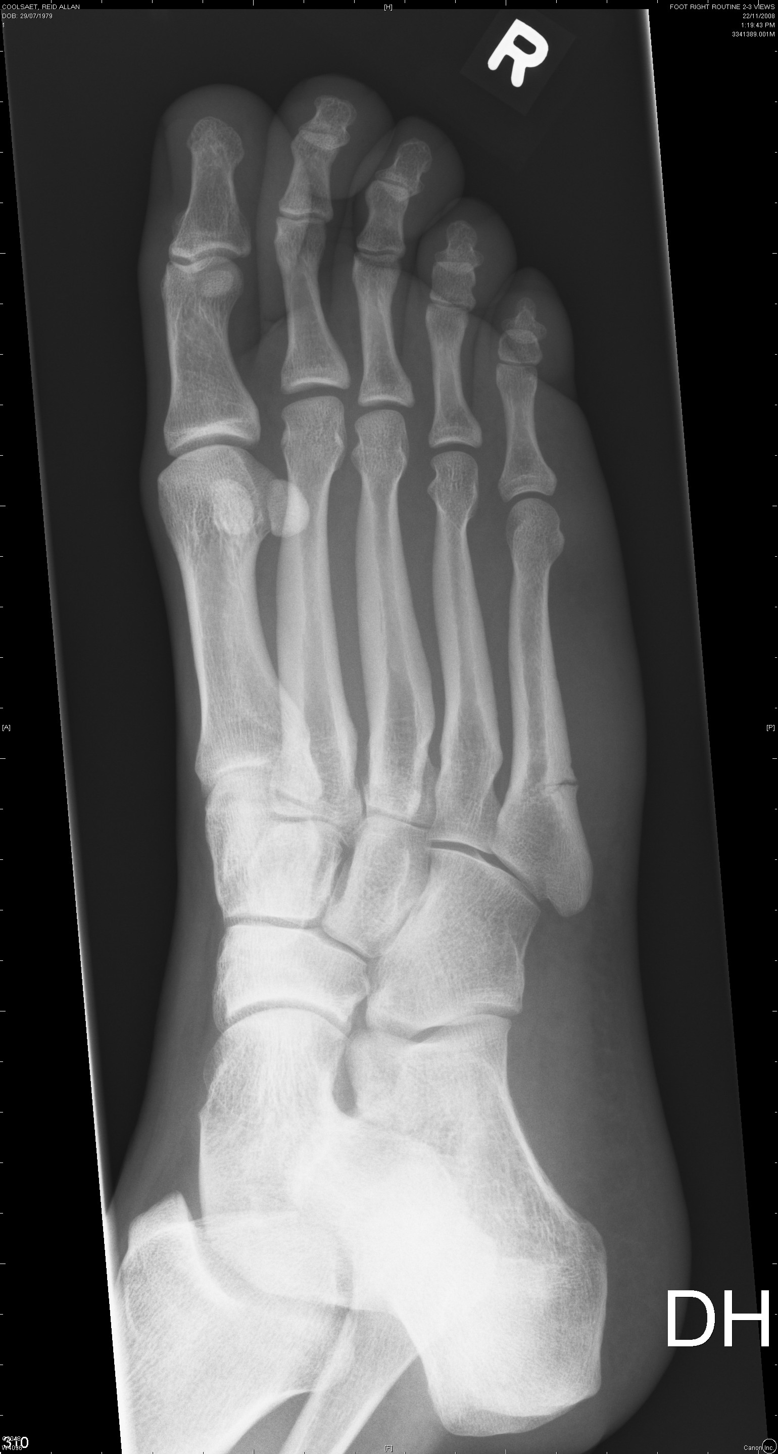
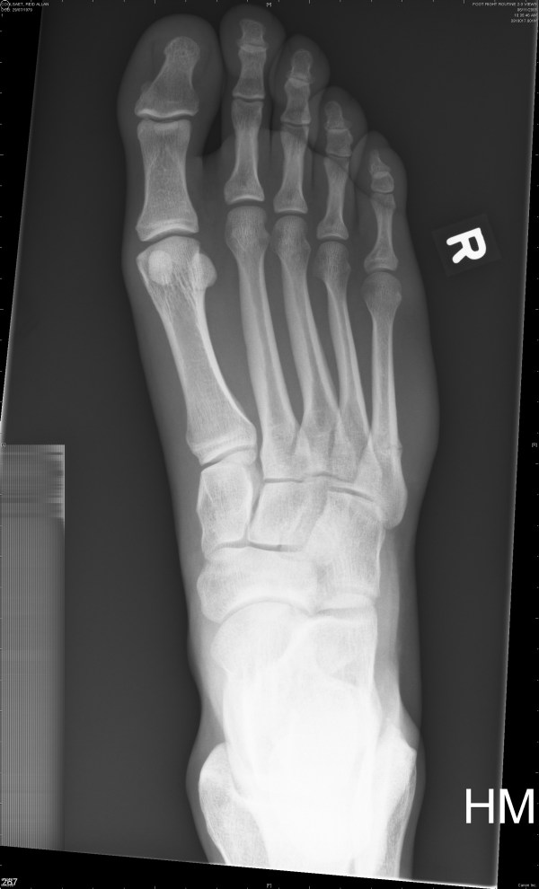
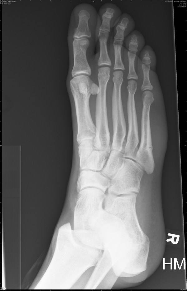
The first two are from November 6th and the last two are from November 22nd. 

The fifth metatarsal (long bone on the far right) is broken. 

nov6a

nov6b

Nov. 22

nov22a

 

nov22b

One Comment
  1. Skuj's avatar
    Skuj permalink
    December 4, 2008 6:03 pm

    Damn! It sure is.

Comments are closed.